MỚI NHẤT!

Đọc nhanh >>

Cô gái 21 tuổi tổn thương não, nguy cơ tàn phế vĩnh viễn do 1 thứ nhiều người trẻ Việt dùng để "giải trí"

11-02-2025 - 20:54 PM | Sống

Cô gái 21 tuổi tổn thương não, nguy cơ tàn phế vĩnh viễn do 1 thứ nhiều người trẻ Việt dùng để "giải trí"

Gần đây, Khoa Nội Thần kinh, Bệnh viện Quân y 175 đã tiếp nhận điều trị cho bệnh nhân nữ V.M.C (21 tuổi) nhập viện trong tình trạng nguy kịch, tổn thương não lan tỏa.

Theo Trung tá, Ths.BS Hoàng Tiến Trọng Nghĩa, Chủ nhiệm Khoa Nội Thần kinh, Bệnh viện Quân y 175, trong những tuần đầu năm, khoa đã tiếp nhận 3 trường hợp trẻ, từ 21-24 tuổi, vào viện cấp cứu do hậu quả từ việc sử dụng bóng cười.

Gần đây, Khoa Nội Thần kinh của bệnh viện đã tiếp nhận điều trị cho bệnh nhân nữ V.M.C (21 tuổi), nhập viện trong tình trạng nguy kịch. Nữ bệnh nhân cũng có tiền sử sử dụng bóng cười và các chất kích thích, thậm chí gần đây bệnh nhân có xu hướng dùng nhiều hơn trước kia. Bệnh nhân có biểu hiện phụ thuộc và cảm thấy khó chịu khi không sử dụng bóng cười.

3 ngày trước khi nhập viện, bệnh nhân sử dụng bóng cười với tần suất cao hơn bình thường, dẫn đến diễn biến bệnh lý cấp tính với biểu hiện mất ngôn ngữ, tổn thương não bộ trên diện rộng. Kết quả chụp cộng hưởng từ (MRI) sọ não cho thấy tổn thương lan tỏa hai bán cầu và thể chai.

Một trường hợp khác là bệnh nhân nam V.Đ.M (24 tuổi) nhập viện trong tình trạng nguy kịch, có tiền sử sử dụng bóng cười liên tục trong 3 tháng. Khám thực thể và kết quả chẩn đoán hình ảnh MRI tủy sống đều cho thấy tình trạng tổn thương tủy sống. Xét nghiệm máu cũng phát hiện các bất thường khác.

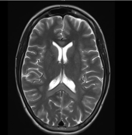
Cô gái 21 tuổi tổn thương não, nguy cơ tàn phế vĩnh viễn do 1 thứ nhiều người trẻ Việt dùng để "giải trí"- Ảnh 1.

Hình ảnh tổn thương lan tỏa hai bán cầu não và thể chai của nữ bệnh nhân C. (Ảnh: Bác sĩ cung cấp)

Khoảng 1 tuần sau đó, Khoa Nội Thần kinh tiếp tục tiếp nhận trường hợp bệnh nhân nam P.H.K (21 tuổi) nhập viện với các triệu chứng thần kinh vận động.

Bác sĩ Hoàng Tiến Trọng Nghĩa cho biết, qua điều tra bệnh sử, bác sĩ phát hiện bệnh nhân P.H.K làm việc tại cơ sở kinh doanh bóng cười, có tiền sử sử dụng bóng cười thường xuyên với số lượng ước tính khoảng 1.000 quả/tháng – đây thực sự là con số vượt ngoài sức tưởng tượng.

Bệnh nhân K có tình trạng lâm sàng rất nặng nề gồm tê bì, yếu tứ chi, dáng đi không vững, người bệnh không thể tự đi lại. Điều đáng ngại là người bệnh đã từng gặp các triệu chứng bất thường do bóng cười và đã điều trị 1-2 lần tại các cơ sở y tế. Người bệnh có nhận thức về tác hại của bóng cười nhưng không thể bỏ được vì lí do công việc và phụ thuộc.

Hiện tại, cả 3 bệnh nhân trên đều đáp ứng điều trị tương đối tốt. Tuy nhiên, các bệnh nhân này có nguy cơ tổn thương hệ thần kinh và tàn phế vĩnh viễn. Các bệnh nhân cũng có nguy cơ tái phát bệnh nếu tiếp tục phụ thuộc vào bóng cười.

Qua các trường hợp trên, bác sĩ Trọng Nghĩa cho biết, có thể thấy rõ mối liên hệ trực tiếp giữa việc sử dụng bóng cười và nguy cơ tổn thương hệ thần kinh trung ương ở người trẻ tuổi. Khi khai thác tiền sử, đa số bệnh nhân đều thừa nhận sử dụng bóng cười với mục đích "giải trí", "thư giãn" hoặc do nghiện bóng cười. Nhiều bệnh nhân đã chủ quan, xem nhẹ tác hại của bóng cười đối với sức khỏe.

Mức độ nguy hiểm của bóng cười

Bóng cười (Nitrous Oxide - N₂O) là một loại khí không màu, vị ngọt nhẹ, vốn được sử dụng trong y tế với mục đích gây mê, giảm đau. Tuy nhiên, hiện nay, khí N₂O đang bị lạm dụng như một chất kích thích, tạo cảm giác hưng phấn và gây cười không kiểm soát.

Cô gái 21 tuổi tổn thương não, nguy cơ tàn phế vĩnh viễn do 1 thứ nhiều người trẻ Việt dùng để "giải trí"- Ảnh 2.

Trung tá, Ths.BS Hoàng Tiến Trọng Nghĩa đang khám cho một trường hợp bệnh nhân.

Cơ chế tác động của N₂O là gây ảnh hưởng trực tiếp lên hệ thần kinh trung ương. Việc sử dụng thường xuyên có thể dẫn đến nhiều hệ lụy nghiêm trọng, bao gồm thiếu hụt vitamin B12, tổn thương tủy sống và hệ thần kinh ngoại vi, rối loạn tâm thần và các vấn đề tim mạch.

Bóng cười không phải là một thú vui vô hại. Việc sử dụng bóng cười tiềm ẩn nguy cơ cao gây tổn hại hệ thần kinh, ảnh hưởng nghiêm trọng đến sức khỏe và chất lượng cuộc sống”, bác sĩ Trọng Nghĩa nói.

Khoa Thần kinh - Bệnh viện Quân y 175 khuyến cáo cộng đồng cần nâng cao nhận thức, từ bỏ hành vi sử dụng bóng cười và các chất kích thích khác để bảo vệ sức khỏe của bản thân.

Theo Ngọc Minh

Đời Sống Pháp Luật

Trở lên trên