Loại nhiễm trùng nguy hiểm
Thường xuyên buồn ngủ, đi khám “sốc” nặng khi biết nguyên nhân
14/03/2026 06:04
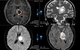
Bệnh nhân không ngờ rằng dù chỉ có những triệu chứng đơn giản, chị lại được chẩn đoán mắc một loại nhiễm trùng nguy hiểm trong não.
MỚI NHẤT!
Đọc nhanh >>
14/03/2026 06:04
Bệnh nhân không ngờ rằng dù chỉ có những triệu chứng đơn giản, chị lại được chẩn đoán mắc một loại nhiễm trùng nguy hiểm trong não.