MỚI NHẤT!

Đọc nhanh >>
Tin tức, bài viết mới nhất về

Phổi trắng xóa

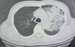
Người đàn ông sốt 40 độ C, phổi gần như 'trắng xóa", chỉ vài ngày đã suy đa tạng: Thủ phạm liên quan đến thói quen nhiều gia đình vẫn mắc

Người đàn ông sốt 40 độ C, phổi gần như 'trắng xóa", chỉ vài ngày đã suy đa tạng: Thủ phạm liên quan đến thói quen nhiều gia đình vẫn mắc

10/03/2026 07:50

Một chiếc điều hòa lâu ngày không được vệ sinh có thể tiềm ẩn rủi ro sức khỏe nghiêm trọng mà nhiều người không ngờ tới.

Bé trai 12 tuổi "phổi trắng xóa” chỉ sau 1 ngày mắc cúm: Cách phát hiện sớm cúm nặng ở trẻ

Bé trai 12 tuổi "phổi trắng xóa” chỉ sau 1 ngày mắc cúm: Cách phát hiện sớm cúm nặng ở trẻ

16/12/2025 10:15

Một bé trai 12 tuổi nhiễm cúm A chủng H3N2, chỉ sau 24 giờ hình ảnh phổi đã xuất hiện tình trạng viêm lan tỏa nghiêm trọng, còn gọi là “phổi trắng”.

Người phụ nữ bị "phổi trắng xóa" chỉ đúng 1 phút sau khi xịt kem chống nắng

Người phụ nữ bị "phổi trắng xóa" chỉ đúng 1 phút sau khi xịt kem chống nắng

18/07/2025 14:20

Bác sĩ chẩn đoán người này mắc "viêm phổi do hít phải hóa chất".

Trở lên trên