Bác sĩ Việt cứu sống bệnh nhân Campuchia bị nhiễm vi khuẩn ăn thịt người
Nhập viện với triệu chứng giống viêm phổi nhưng không ngờ bệnh nhân người Campuchia lại mang trong mình căn bệnh nhiễm trùng nguy hiểm bậc nhất – Whitmore - còn được gọi là “vi khuẩn ăn thịt người”. Các bác sĩ Việt Nam đã kiểm soát thành công ca bệnh nhiễm trùng đa cơ quan phức tạp này.
- 08-12-2025Người đàn ông từ Thái Lan về Việt Nam chữa bệnh 'vi khuẩn ăn thịt người'
- 04-09-2024Phát hiện 2 người nhiễm "vi khuẩn ăn thịt người"
- 12-07-2024Người đàn ông nguy kịch do 'vi khuẩn ăn thịt người': Bác sĩ chỉ ra hành động làm tăng nguy cơ
Ngày 22/1, BS-CKI Nguyễn Ngọc Quang, Trưởng khoa Nội Tổng hợp, Bệnh viện Hoàn Mỹ Sài Gòn cho biết, bệnh viện vừa tiếp nhận và điều trị thành công cho nam bệnh nhân P.C. (69 tuổi, quốc tịch Campuchia) mắc bệnh Whitmore với nhiều ổ áp xe nguy hiểm ở phổi, lách và não.
Theo bệnh sử, ông P.C. nhập viện trong tình trạng đau ngực trái tăng dần, ho khạc đàm trắng đục kéo dài khoảng một tuần, kèm sốt nhẹ. Trước đó, người bệnh từng được chẩn đoán viêm phổi. Các bác sĩ cho biết, những biểu hiện lâm sàng ban đầu khá “điển hình”, dễ khiến cả người bệnh lẫn nhân viên y tế nghĩ đến một đợt viêm phổi thông thường.
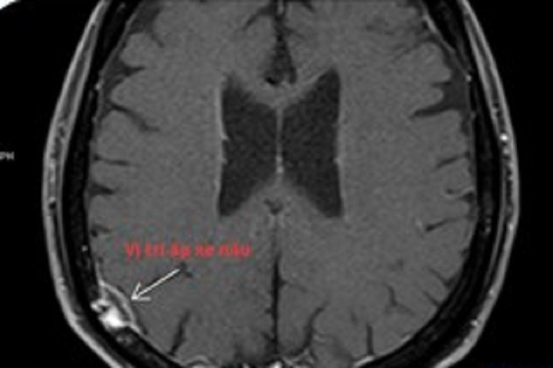
Bệnh nhân đã bị vi khuẩn tấn công gây áp xe não, đe dọa tính mạng (vùng áp xe tại vị trí mũi tên)
Tuy nhiên, khai thác kỹ tiền sử, các bác sĩ ghi nhận bệnh nhân từng được cấy đàm và phát hiện vi khuẩn Burkholderia cepacia – loại vi khuẩn có thể dễ nhầm lẫn với Burkholderia pseudomallei - tác nhân gây bệnh Whitmore. Đáng chú ý, ông P.C. còn mang nhiều bệnh nền như đái tháo đường type 2, gan nhiễm mỡ, thiếu máu, thiếu sắt và suy thượng thận do thuốc. Đây đều là những yếu tố làm tăng nguy cơ nhiễm trùng nặng và diễn tiến phức tạp.
Từ những dữ kiện trên, BS-CKI Nguyễn Ngọc Quang nhận định ca bệnh này không đơn thuần là viêm phổi thông thường và đề xuất thực hiện các cận lâm sàng chuyên sâu. Kết quả chụp MSCT toàn thân cho thấy hình ảnh viêm phổi kèm tổn thương tạo hang đường kính khoảng 20 mm tại thùy trên phổi bên trái, đồng thời phát hiện nhiều ổ áp xe nhỏ tại lách, kích thước từ 8–12 mm.
Song song đó, kết quả cấy máu cho thấy người bệnh nhiễm Melioidosis (bệnh Whitmore) với tình trạng áp xe đa cơ quan.
Ngay sau hội chẩn, các bác sĩ đã chỉ định cho người bệnh sử dụng phác đồ kháng sinh theo khuyến cáo điều trị Whitmore.
Sau 6 ngày điều trị, các triệu chứng hô hấp của người bệnh cải thiện rõ rệt. Tuy nhiên, bệnh nhân vẫn còn sốt và xuất hiện đau đầu nhiều. Nhận thấy đây là dấu hiệu bất thường, các bác sĩ tiếp tục chỉ định chụp MRI sọ não.
Kết quả kiểm tra hình ảnh phát hiện một ổ áp xe trong não người bệnh có kích thước khoảng 7x15mm, kèm tổn thương viêm khu trú màng não tại vùng ranh giới giữa thùy chẩm và thùy thái dương bên phải. Điều này cho thấy nhiễm trùng đã lan tới hệ thần kinh trung ương, làm ca bệnh trở nên đặc biệt phức tạp và tiềm ẩn nhiều nguy cơ đe dọa tính mạng.
Ngay lập tức, bệnh nhân được điều chỉnh phác đồ điều trị. Chỉ trong vòng 3 ngày, tình trạng người bệnh cải thiện rõ rệt. Cơn sốt giảm dần rồi chấm dứt, các cơn nhức đầu thuyên giảm đáng kể, người bệnh ăn uống khá hơn và sinh hoạt nhẹ nhàng trở lại.
Ông P.C. tiếp tục được điều trị tấn công bằng kháng sinh đường tĩnh mạch, dưới sự theo dõi sát của các bác sĩ. Sau giai đoạn điều trị, sức khỏe bệnh nhân đã bình phục tốt, đủ điều kiện xuất viện.
Đánh giá về ca bệnh, BS.CKI Nguyễn Ngọc Quang cho biết: “Điểm mấu chốt là nhận diện sớm nguy cơ nhiễm trùng đa cơ quan ở bệnh nhân có bệnh nền đái tháo đường. Việc chỉ định cận lâm sàng phù hợp giúp chúng tôi phát hiện kịp thời các ổ áp xe ở phổi, lách và sau đó là não. Whitmore là bệnh nhiễm trùng rất ‘cứng đầu’, đòi hỏi điều trị đúng phác đồ và đủ thời gian. Nếu ngắt quãng hoặc dừng sớm, bệnh có thể tái phát nặng hơn. Trường hợp này cho thấy, khi chẩn đoán đúng và điều trị chuẩn, người bệnh vẫn có thể hồi phục tốt dù bệnh cảnh ban đầu rất nặng”.
Tiền phong