MỚI NHẤT!

Đọc nhanh >>

Chàng trai 24 tuổi phải rửa ruột vì sáng tỉnh dậy bỗng có 150 viên thuốc trong bụng

Theo Mỹ Diệu | 11-04-2026 - 05:42 AM | Sống

Chàng trai 24 tuổi phải rửa ruột vì sáng tỉnh dậy bỗng có 150 viên thuốc trong bụng

Những viên thuốc lặng lẽ kết dính lại với nhau và đông cứng trong dạ dày, có khả năng cướp đi sinh mạng của nam bệnh nhân.

Một bữa nhậu tưởng như bình thường lại suýt cướp đi mạng sống của một chàng trai trẻ. Câu chuyện của anh Lâm (24 tuổi ở Trung Quốc) là lời cảnh báo rõ ràng về những sai lầm phổ biến khi dùng thuốc,đặc biệt là khi kết hợp với rượu bia.

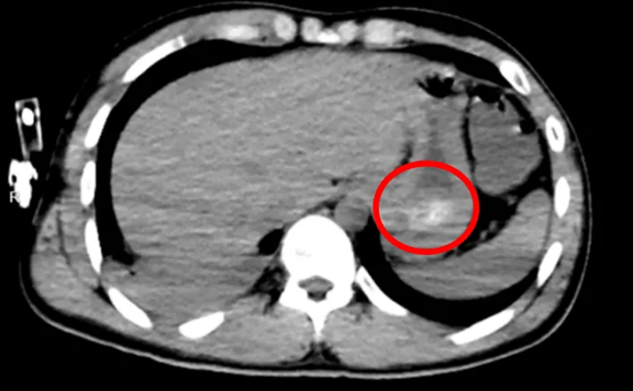
Chàng trai 24 tuổi phải rửa ruột vì sáng tỉnh dậy bỗng có 150 viên thuốc trong bụng - Ảnh 1.

Theo trang QQ, đêm hôm đó, sau khi tụ tập với bạn bè, anh Lâm trở về nhà trong trạng thái say xỉn, ý thức mơ hồ. Không rõ vì lý do gì, anh đã nuốt một lượng lớn thuốc lên tới khoảng 150 viên. Những viên thuốc này không “tan biến” ngay trong cơ thể như nhiều người vẫn nghĩ, mà âm thầm kết dính lại trong dạ dày, tạo thành một khối lớn giống như “tảng đá thuốc” và liên tục giải phóng độc tính.

Khoảng 1 giờ sáng, chị gái phát hiện anh nằm bất động trên giường, ý thức lơ mơ, bên cạnh là vỉ thuốc đã trống rỗng. Ngay lập tức, gia đình đưa anh đến bệnh viện để cấp cứu. Lúc này, đã hơn 3 giờ kể từ khi anh uống thuốc.

Chàng trai 24 tuổi phải rửa ruột vì sáng tỉnh dậy bỗng có 150 viên thuốc trong bụng - Ảnh 2.

Tại phòng cấp cứu, các bác sĩ xác định anh đã rơi vào tình trạng ngộ độc nặng. Quy trình cấp cứu được triển khai ngay: đặt ống dạ dày, rửa dạ dày liên tục, truyền dịch, bảo vệ niêm mạc và hỗ trợ đào thải độc tố. Tuy nhiên, điều bất thường nhanh chóng xuất hiện. Sau khi rửa dạ dày, tình trạng của anh không cải thiện mà còn xấu đi, từ lơ mơ chuyển sang hôn mê sâu.

Kết quả xét nghiệm cho thấy nồng độ thuốc trong máu vượt xa ngưỡng an toàn và vẫn tiếp tục tăng, dù đã qua hơn 10 giờ. Điều này khiến bác sĩ nghi ngờ: thuốc vẫn còn trong cơ thể và đang tiếp tục được hấp thu.

Chụp CT đã cho thấy nguyên nhân: trong dạ dày của anh tồn tại một khối lớn kết dính từ các viên thuốc, gọi là “bezoar thuốc” (khối thuốc đông kết). Không chỉ vậy, anh còn bị viêm phổi hít do nôn trớ trong lúc ý thức kém, khiến tình trạng càng nguy kịch.

Theo bác sĩ, khi nuốt một lượng lớn thuốc cùng lúc, đặc biệt là các dạng viên nén, viên giải phóng chậm, chúng rất dễ kết dính dưới tác động của dịch vị và chất nhầy trong dạ dày. Rượu bia càng làm tình hình tệ hơn: vừa tăng tốc hấp thu thuốc, vừa làm giảm nhu động dạ dày, khiến thuốc “kẹt” lại lâu hơn và dễ kết thành khối.

Chàng trai 24 tuổi phải rửa ruột vì sáng tỉnh dậy bỗng có 150 viên thuốc trong bụng - Ảnh 3.

Điều nguy hiểm là rửa dạ dày thông thường không thể loại bỏ hoàn toàn những khối thuốc này. Ống rửa chỉ hút được phần dịch hoặc mảnh nhỏ, còn khối lớn vẫn nằm lại, giống như một “kho độc” âm thầm giải phóng chất độc vào cơ thể, khiến bệnh nhân tiếp tục xấu đi.

Trước tình huống đó, đội phản ứng nhanh về ngộ độc quyết định can thiệp bằng nội soi để lấy khối thuốc ra. Anh Lâm được chuyển vào phòng hồi sức tích cực (EICU), gây mê và đặt ống nội khí quản để bảo vệ đường thở.

Qua nội soi, bác sĩ phát hiện toàn bộ dạ dày bị chặn bởi một khối thuốc lớn màu vàng, dễ vỡ. Quá trình làm sạch kéo dài 43 phút, với hàng chục lần rửa và gắp, cuối cùng đã loại bỏ hoàn toàn “quả bom độc” này khỏi cơ thể.

May mắn, sau phẫu thuật một ngày, anh tỉnh lại hoàn toàn, các chỉ số dần ổn định. Sau 3 ngày điều trị, anh được xuất viện.

Từ ca bệnh này, các bác sĩ cảnh báo 3 sai lầm rất phổ biến. Thứ nhất, nhiều người nghĩ ngộ độc chỉ cần gây nôn là đủ, nhưng đây là hành động nguy hiểm, đặc biệt khi bệnh nhân đã lơ mơ, dễ gây sặc và viêm phổi hít. Thứ hai, không chỉ kháng sinh mới “kỵ” rượu. Hầu hết các loại thuốc như thuốc ngủ, thuốc chống trầm cảm, thuốc huyết áp, tiểu đường… đều có thể gây hậu quả nghiêm trọng khi dùng cùng rượu. Thứ ba, việc để thuốc bừa bãi trong nhà có thể dẫn đến uống nhầm, đặc biệt ở người già và trẻ nhỏ.

Theo Mỹ Diệu

Thanh niên Việt

Trở lên trên