Dán sứ Veneer: Khi thẩm mỹ răng gắn liền bảo tồn
Khi nhu cầu thẩm mỹ nha khoa ngày càng tăng, dán sứ Veneer trở thành xu hướng được nhiều người lựa chọn, nhờ đáp ứng cả 2 yếu tố: thẩm mỹ và bảo tồn. Tại TP.HCM, nha khoa I-Dent đang áp dụng giải pháp này theo hướng cá nhân hóa cho từng khách hàng.
Dán sứ Veneer và sự thay đổi trong quan niệm thẩm mỹ răng
Trước đây, để làm răng sứ, khách hàng thường phải chấp nhận mài răng nhiều, còn nay, tiêu chuẩn thẩm mỹ là giữ được tối đa cấu trúc tự nhiên. Dán sứ Veneer, với đặc tính chỉ cần mài rất ít hoặc thậm chí không mài, đã trở thành xu hướng được nhiều người ưa chuộng.
Khác biệt lớn nhất của Veneer không nằm ở khả năng che đi những khuyết điểm, mà ở triết lý bảo tồn tối đa cấu trúc răng thật. Thay vì mài răng dày, thậm chí mài nhỏ như bọc sứ truyền thống, việc dán Veneer chỉ cần mài một lớp men mỏng như giấy, một số trường hợp đặc biệt còn không cần mài. Chính điều này đã giải quyết nỗi lo của nhiều người: xâm lấn và đau đớn

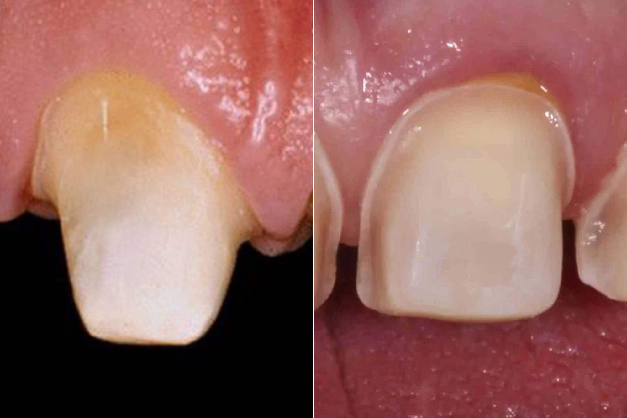
So với bọc sứ truyền thống phải mài nhiều, dán sứ Veneer chỉ mài lớp men răng mỏng
Từ "trắng – đều" đến "tự nhiên – hài hòa"
Một trong những thay đổi lớn của thị hiếu thẩm mỹ hiện đại là tiêu chí đánh giá "nụ cười đẹp". Nếu trước đây, nhiều khách hàng mong muốn hàm răng thật trắng và đều tăm tắp, thì nay, yếu tố được ưu tiên hơn cả là sự tự nhiên. Màu răng không cần phải quá sáng, mà phải tiệp với tông da, hài hòa với tổng thể khuôn mặt.
Veneer cho phép hiện thực hóa quan niệm này nhờ khả năng tùy chỉnh cao. Mỗi mặt dán có thể được thiết kế riêng biệt, về màu sắc, độ trong, hình dáng. Nhờ đó, thay vì mang đến "khuôn mẫu thẩm mỹ", bác sĩ có thể tạo ra "bản sắc thẩm mỹ" cho từng khách hàng.
Sự tinh tế khi dán sứ Veneer nằm ở việc bác sĩ nha khoa và kỹ thuật viên phải làm việc như những nghệ nhân. Mỗi miếng dán sứ được chế tác bằng công nghệ CAD/CAM hiện đại, mỏng chỉ từ 0.3mm - 0.5mm, nhưng lại có độ cứng và khả năng chịu lực vượt trội. Khi dán lên bề mặt răng, miếng sứ này hòa hợp hoàn hảo với răng thật, tạo vẻ đẹp tự nhiên khó phân biệt. Đây không chỉ là việc lắp một "chiếc áo mới" cho răng, mà là sự đồng điệu giữa sứ và men răng, phản chiếu ánh sáng giống hệt như răng tự nhiên.
Veneer bền đẹp: Cần kết hợp tay nghề và công nghệ
Mặc dù Veneer đang trở thành lựa chọn phổ biến, nhưng không phải ở đâu cũng có thể thực hiện thành công. Thực tế, tỷ lệ biến chứng như bong rơi, viêm lợi hoặc ê buốt sau khi dán thường xuất phát từ việc chỉ tập trung vào khía cạnh thẩm mỹ mà bỏ qua nền tảng sinh học.
Các chuyên gia nha khoa nhấn mạnh rằng, để đạt được kết quả lâu dài, dán sứ Veneer phải dựa trên ba trụ cột:
Chẩn đoán chính xác: Bác sĩ cần đánh giá tình trạng khớp cắn, men răng, thói quen ăn nhai. Không phải mọi trường hợp đều phù hợp với Veneer.
Kỹ thuật chế tác: Công nghệ thiết kế răng sứ kỹ thuật số CAD/CAM, cùng phòng Labo hiện đại, quyết định tính chính xác của miếng dán.

Miếng dán sứ Veneer được thiết kế bằng công nghệ CAD/CAM hiện đại
Tay nghề thực hiện: Quá trình gắn Veneer đòi hỏi sự tỉ mỉ ở từng chi tiết, từ việc chuẩn bị bề mặt răng đến cố định bằng cement nha khoa.
Yêu cầu cao về tay nghề và công nghệ, nên chi phí dán sứ Veneer không hề thấp, nhưng xét trên khía cạnh dài hạn, đây được xem là giải pháp hợp lý. Khi thực hiện đúng kỹ thuật, Veneer có tuổi thọ trung bình từ 10 – 15 năm, thậm chí lâu hơn nếu được chăm sóc tốt. Đồng thời, việc bảo tồn mô răng thật cũng giúp hạn chế tối đa nguy cơ biến chứng trong tương lai.
Điều quan trọng là khách hàng cần cân nhắc lựa chọn nha khoa uy tín. Một nha khoa chất lượng không chỉ mang lại kết quả thẩm mỹ, mà còn đảm bảo an toàn, duy trì sức khỏe răng miệng về lâu dài.
Dán sứ Veneer tại I-Dent: Công nghệ hiện đại, chuyên môn vững chắc
Khi thị trường nha khoa thẩm mỹ ngày càng sôi động, Hệ thống nha khoa tiêu chuẩn quốc tế - Nha khoa I-Dent nổi bật với dịch vụ dán sứ Veneer công nghệ cao.
Điểm khác biệt của I-Dent nằm ở sự đầu tư đồng bộ về công nghệ và con người. Về công nghệ, điểm nhấn trong dịch vụ tại I-Dent là sự kết hợp giữa công nghệ Smile Design 3D và phương pháp Mock-up. Nhờ đó, khách hàng có thể "thử nụ cười" trước khi quyết định, hạn chế tối đa rủi ro không như mong đợi.
Về con người, đội ngũ bác sĩ tại I-Dent là những chuyên gia hàng đầu, được đào tạo bài bản ở Pháp, Mỹ và có nhiều năm kinh nghiệm trong lĩnh vực răng sứ thẩm mỹ. Các bác sĩ không chỉ là những người thực hiện kỹ thuật mà còn luôn đồng hành, theo sát từng khách hàng. Bác sĩ trực tiếp lắng nghe mong muốn của khách hàng, phân tích tình trạng răng miệng để đưa ra phác đồ Veneer cá nhân hóa, phù hợp với khuôn mặt và cá tính của từng người.

Khách hàng I-Dent được xem mô phỏng nụ cười trước khi dán sứ Veneer
I-Dent không chỉ cung cấp dịch vụ dán sứ Veneer, mà còn mang đến một trải nghiệm làm đẹp an toàn và khoa học. Phòng khám sử dụng vật liệu sứ nhập khẩu chính hãng từ Đức, đảm bảo chất lượng và độ bền vượt trội. Quy trình vô trùng tuyệt đối cũng là một điểm cộng lớn, giúp khách hàng an tâm trong suốt quá trình điều trị.
Ở Việt Nam, sự hiện diện của những đơn vị tiên phong thẩm mỹ răng sứ công nghệ cao như nha khoa I-Dent cho thấy ngành nha khoa thẩm mỹ đang dần bắt kịp với tiêu chuẩn quốc tế. Điều này không chỉ mở ra cơ hội cho người dân trong nước tiếp cận dịch vụ chất lượng cao mà còn góp phần định hình chuẩn mực mới trong chăm sóc răng miệng.
Thông tin liên hệ:
Phòng khám chuyên khoa răng hàm mặt (thuộc Công ty TNHH Nha khoa I-Dent)
CS1: 19V Nguyễn Hữu Cảnh, P.Thạnh Mỹ Tây, TP.HCM
CS2: 193A - 195 Hùng Vương, P.An Đông, TP.HCM
CS3: 83 Đường số 3 khu dân cư Cityland, P.Gò Vấp, TP.HCM
Thời gian làm việc:
Thứ 2 - thứ 7: 8h00 - 20h00
CN: 8h00 - 12h00
Phụ Nữ Số
CÙNG CHUYÊN MỤC
Khởi công Metro số 5, bất động sản Hòa Lạc sôi động dịp cuối năm
08:00 , 20/12/2025
MJC - KOBAC bắt tay đưa bảo dưỡng, kiểm định xe tiêu chuẩn Nhật đến Việt Nam
19:30 , 19/12/2025
Bật hứng khởi, dệt Tết mới cùng Coca-Cola
19:30 , 19/12/2025