MỚI NHẤT!

Đọc nhanh >>
Tin tức, bài viết mới nhất về

Suy thận

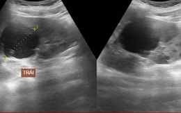
Người đàn ông 40 tuổi suy thận sau khi tập thể dục buổi sáng: 3 sai lầm đừng nên mắc phải

Người đàn ông 40 tuổi suy thận sau khi tập thể dục buổi sáng: 3 sai lầm đừng nên mắc phải

06/04/2026 07:20

Tập thể dục buổi sáng rất tốt cho sức khỏe, tuy nhiên, việc thực hiện sai cách có thể gây ảnh hưởng xấu đến chức năng thận. Trường hợp của người đàn ông này là bài học kinh nghiệm cho mọi người.

Nam kỹ sư suy thận giai đoạn 4 thoát cảnh lọc máu suốt đời nhờ tránh xa 3 loại bữa sáng này

Nam kỹ sư suy thận giai đoạn 4 thoát cảnh lọc máu suốt đời nhờ tránh xa 3 loại bữa sáng này

31/03/2026 07:42

Ăn bữa sáng không đúng cách có thể khiến bạn có nguy cơ phải chạy thận nhân tạo! Một người đàn ông 62 tuổi bị suy thận giai đoạn 4 đã thành công trong việc cải thiện tình trạng bệnh và tránh phải chạy thận bằng cách loại bỏ ba loại thực phẩm trong bữa sáng.

Suy thận có thể tấn công bất ngờ không báo trước: Đây là 4 đối tượng cần đặc biệt cảnh giác

Suy thận có thể tấn công bất ngờ không báo trước: Đây là 4 đối tượng cần đặc biệt cảnh giác

22/03/2026 15:20

Các dược sĩ hàng đầu vừa lên tiếng cảnh báo về 4 đối tượng cần rất lưu ý đến nguy cơ suy thận của mình.

Nam CEO 28 tuổi phát hiện suy thận, bác sĩ cảnh báo 7 thói quen "phá thận" nhiều người trẻ vẫn lặp lại mỗi ngày

Nam CEO 28 tuổi phát hiện suy thận, bác sĩ cảnh báo 7 thói quen "phá thận" nhiều người trẻ vẫn lặp lại mỗi ngày

13/03/2026 07:13

“Tôi mới 28 tuổi, sao lại bị suy thận?”, đó là câu hỏi đầy hoang mang của nam CEO khi ngồi trong phòng khám sau khi nhận kết quả xét nghiệm. Trước đó, anh chỉ nghĩ mình mệt mỏi vì công việc quá nhiều.

Thận rất sợ 5 loại thực phẩm này, ăn mỗi bữa đều đẩy nhanh quá trình tổn thương: nhiều người vô tư tổn hại cơ thể mỗi ngày

Thận rất sợ 5 loại thực phẩm này, ăn mỗi bữa đều đẩy nhanh quá trình tổn thương: nhiều người vô tư tổn hại cơ thể mỗi ngày

08/03/2026 17:33

Thói quen ăn uống xấu duy trì trong nhiều năm khiến nguy cơ mắc bệnh càng cao.

Nam kỹ sư CNTT 40 tuổi suy thận dù ăn rất nhạt, nguyên nhân từ 1 thói quen ngủ người càng trẻ càng yêu thích

Nam kỹ sư CNTT 40 tuổi suy thận dù ăn rất nhạt, nguyên nhân từ 1 thói quen ngủ người càng trẻ càng yêu thích

06/03/2026 08:29

Không ít người nghĩ bảo vệ thận chỉ cần ăn nhạt, kiểm soát huyết áp và tránh thuốc bừa bãi là đủ. Thế nhưng một trường hợp mới đây cho thấy, có một yếu tố khác tưởng như “vô hại” lại âm thầm bào mòn chức năng thận suốt nhiều năm.

Mỹ đánh giá: Suy thận rất “sợ” loại nước quen thuộc này, nhiều người Việt uống suốt mà không biết

Mỹ đánh giá: Suy thận rất “sợ” loại nước quen thuộc này, nhiều người Việt uống suốt mà không biết

27/02/2026 15:04

Một nghiên cứu mới đăng trên tạp chí y khoa Renal Failure cho thấy một loại đồ uống quen thuộc này có thể mang lại lợi ích đáng kể cho người mắc bệnh thận mạn tính.

Rau thì là có gây suy thận? Các bác sĩ cảnh báo: Để tránh tổn thương thận, hãy ăn ít 3 loại rau này

Rau thì là có gây suy thận? Các bác sĩ cảnh báo: Để tránh tổn thương thận, hãy ăn ít 3 loại rau này

23/02/2026 14:29

Vì sao thì là và một số loại rau khác có thể ảnh hưởng đến thận?

Nam shipper 26 tuổi suy thận nặng vì loại nước thơm ngọt "vạn người mê", bác sĩ nói thẳng: 5 việc "phá thận" hơn uống rượu

Nam shipper 26 tuổi suy thận nặng vì loại nước thơm ngọt "vạn người mê", bác sĩ nói thẳng: 5 việc "phá thận" hơn uống rượu

23/02/2026 09:43

Với nam shipper này, nhận chẩn đoán suy thận cấp độ 5 ở tuổi 26, phải chạy thận suốt đời chẳng kém gì "án tử". Bởi anh còn quá trẻ, độc thân và kinh tế khó khăn.

Ngày càng nhiều người còn trẻ đã phát hiện suy thận, bác sĩ tố giác: 4 kiểu uống nước "phá thận" không kém gì lười uống

Ngày càng nhiều người còn trẻ đã phát hiện suy thận, bác sĩ tố giác: 4 kiểu uống nước "phá thận" không kém gì lười uống

10/02/2026 11:20

Uống nước thế này chẳng khác nào bạn đang "hành xác" thận mỗi ngày. Có khi càng uống nhiều thận càng nhanh "hỏng".

Người mắc suy thận ngày càng nhiều, hãy cố gắng ăn ít 4 loại thực phẩm này để thận đỡ quá tải

Người mắc suy thận ngày càng nhiều, hãy cố gắng ăn ít 4 loại thực phẩm này để thận đỡ quá tải

06/02/2026 17:18

Suy thận đang ngày càng trẻ hóa, nhưng nhiều người vẫn vô tình “tự hại” thận qua từng bữa ăn hằng ngày. Ít ai ngờ rằng 4 loại thực phẩm quen thuộc này lại là tác nhân âm thầm khiến thận quá tải và suy yếu theo thời gian.

1 bệnh viện cảnh báo khẩn 6 thói quen gây suy thận nhiều nam giới làm mỗi ngày

1 bệnh viện cảnh báo khẩn 6 thói quen gây suy thận nhiều nam giới làm mỗi ngày

31/01/2026 07:20

Theo các chuyên gia y tế, thận suy yếu không chỉ ảnh hưởng đến sức khỏe tổng thể mà còn tác động trực tiếp đến chức năng sinh lý. Nam giới nên tránh xanh những thói quen này.

Nữ sinh 17 tuổi suy thận nặng sau đúng 1 lần làm đẹp bằng phương pháp "vạn người mê"

Nữ sinh 17 tuổi suy thận nặng sau đúng 1 lần làm đẹp bằng phương pháp "vạn người mê"

27/01/2026 06:51

Một sự cố y khoa mới xảy ra tại Jerusalem (Israel) đang khiến giới y tế và công chúng đặc biệt lo ngại về những rủi ro tiềm ẩn của một số dịch vụ làm đẹp tưởng chừng vô hại.

Chưa đến ngày nhận lương đã cạn tiền? Một phụ nữ trung niên chia sẻ: Tôi thoát cảnh này nhờ 3 thói quen rất dễ

Chưa đến ngày nhận lương đã cạn tiền? Một phụ nữ trung niên chia sẻ: Tôi thoát cảnh này nhờ 3 thói quen rất dễ

27/01/2026 06:30

Dưới đây là 3 thói quen tiết kiệm tiền tôi duy trì suốt nhiều năm - những thói quen không chỉ giúp chi tiêu gọn lại, mà còn làm cuộc sống dễ chịu hơn rõ rệt.

24 tuổi "nhận án" suy thận giai đoạn cuối, cô gái bật khóc: “Ra trường chưa kịp đi làm đã phải chạy thận, giá như tôi để ý sớm hơn các dấu hiệu…”

24 tuổi "nhận án" suy thận giai đoạn cuối, cô gái bật khóc: “Ra trường chưa kịp đi làm đã phải chạy thận, giá như tôi để ý sớm hơn các dấu hiệu…”

22/01/2026 06:50

Thời gian là thứ không bao giờ có thể lấy lại được và sức khỏe của thận cũng vậy. Nếu có 2 chữ "giá như", tương lai của cô gái trẻ này đã đi theo một hướng khác.

Nữ sinh năm nhất mắc suy thận giai đoạn cuối, phải chạy thận cả đời: Bác sĩ cảnh báo thứ mà ai cũng hay bỏ qua

Nữ sinh năm nhất mắc suy thận giai đoạn cuối, phải chạy thận cả đời: Bác sĩ cảnh báo thứ mà ai cũng hay bỏ qua

16/01/2026 20:17

Ban đầu, cô không quá để ý, cho rằng đó chỉ là mệt mỏi do làm việc nặng.

Nữ nhân viên văn phòng suy thận giai đoạn cuối: Trước uống loại nước này 2 lần mỗi ngày, giờ chạy thận 3 lần/tuần

Nữ nhân viên văn phòng suy thận giai đoạn cuối: Trước uống loại nước này 2 lần mỗi ngày, giờ chạy thận 3 lần/tuần

16/01/2026 06:50

Cô gái 26 tuổi phải chạy thận suốt đời vì mỗi ngày uống 2 ly loại nước này, bác sĩ cảnh báo, thận hỏng 70% vẫn có thể không hề đau.

Ngày càng nhiều người tử vong vì suy thận, bác sĩ cảnh báo: Thận không tốt nên hạn chế 6 loại quả này

Ngày càng nhiều người tử vong vì suy thận, bác sĩ cảnh báo: Thận không tốt nên hạn chế 6 loại quả này

03/01/2026 21:05

Những loại quả này tốt cho sức khỏe người bình thường nhưng không phù hợp với người thận yếu hoặc đang trong quá trình điều trị bệnh suy thận.

Bác sĩ Indonesia cảnh báo 4 thực phẩm dễ gây suy thận, nhiều người ăn mỗi ngày

Bác sĩ Indonesia cảnh báo 4 thực phẩm dễ gây suy thận, nhiều người ăn mỗi ngày

31/12/2025 17:10

Dù rất ngon miệng nhưng 4 thực phẩm này đừng nên ăn nhiều.

Ngày càng nhiều người suy thận, bác sĩ cảnh báo 8 sai lầm khi uống nước: “Đừng coi nhẹ những thói quen này”

Ngày càng nhiều người suy thận, bác sĩ cảnh báo 8 sai lầm khi uống nước: “Đừng coi nhẹ những thói quen này”

29/12/2025 22:04

Nhiều thói quen uống nước tưởng chừng vô hại nhưng nếu thực hiện sai cách có thể âm thầm làm tổn hại thận và sức khỏe.

Trở lên trên